About Pediatrics Guide
兒童隱形誘導牙套
兒童隱形誘導牙套
兒童隱形誘導牙套(PG)使用德國專利材質;台灣本土製作,目前已在全台累積上萬筆成功病例。PG適用於生長發育期的青少年與兒童進行牙齒矯正,PG產生的矯正力透過調節、刺激顎骨及牙齒生長,並改變和消除肌肉不良之行為,使顱、顎、面部能正常穩定發育。

PG's Advantage
使用PG好處多
- 01.前牙區可以完全控制
- 02.不易蛀牙或牙周病
- 03.更完整咀嚼食物
- 04.發音更正確與穩定
- 05.停止吸手指的習慣
- 06.專利材質,可依患者病症調整材質
- 07.暴牙、戽斗也可以配戴
- 08.誘導後牙生長,改善咬合垂直高度
- 09.電腦3D療程設計與動畫排程
- 10.改善口呼吸、調整舌位、咬合不正
- 11.微型擴弓、咬頭預期定位
- 12.按摩牙齦協助生長
Before & After
改善前後對比
改善前後對比
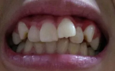
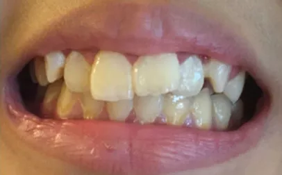
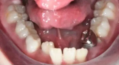
案例一
- 小學三年級
- 第七顆未生完成
- 上門牙暴牙、咬合不正、下巴內縮
戴PG一個半月的時間,暴牙部分已有明顯改善




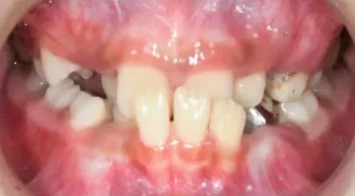
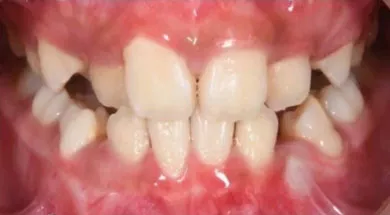
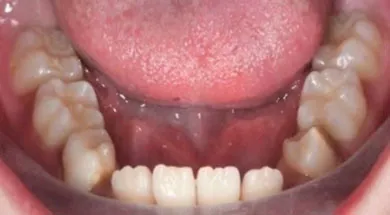
案例二
- 九歳的小朋友
- 配戴與堅持每日咬合練習
戴PG五個月,反咬症狀已有明顯改善



